Những năm gần đây, Bệnh viện Mắt Trung ương đã tiếp nhận nhiều bệnh nhân với các triệu chứng cộm, vướng, tấy đỏ và cảm giác có vật lạ trong mắt một vùng có diện tích 1-2cm.

Giun chỉ sống ký sinh trong mắt người.
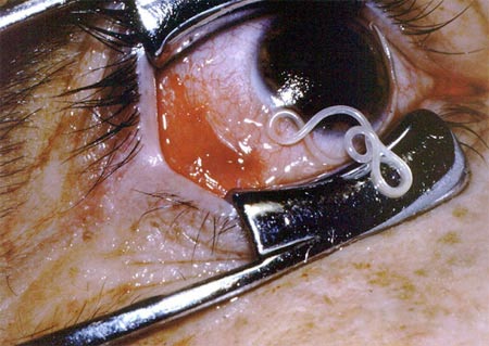
Sau khi tiến hành khám các bác sỹ đã phát hiện có một loài ký sinh trùng trong mắt và phẫu thuật gắp ra một con giun chỉ vẫn đang ngọ nguậy có chiều dài... từ 4 - 12,5cm, chiều rộng 0,5 - 1mm. Vị trí giun chỉ ký sinh trong mắt những bệnh nhân này nằm dưới lớp kết mạc mắt.
Qua nghiên cứu và giải mã gen, các nhà khoa học đã xác định được đó là loài giun chỉ có tên khoa học Dirofilaria repens.
Nguyên nhân mắc loài ký sinh trùng này do các loài muỗi phổ biến ở Việt Nam như: muỗi sốt rét (Anopheles), muỗi vằn truyền sốt xuất huyết (tên khoa học Aedes) và muỗi nâu (Culex) truyền nhiễm từ chó, mèo sang người.

Giun chỉ sống trong mắt gây mù lòa.
Đây là một loại ký sinh trùng khủng khiếp sống trong mắt người. Chúng thường sống ở màng kết, khu vực thoáng khí phía dưới mi mắt, bám chặt vào nhãn cầu và là nguyên nhân gây mù lòa thứ hai trên thế giới. Khi giun chỉ tấn công mắt, bệnh nhân chỉ còn cách duy nhất là phẫu thuật để gắp bỏ ký sinh trùng.
Vị trí ký sinh của giun chỉ Dirofilaria repens không chỉ ở mắt mà còn nó còn ký sinh ở nhiều nơi khác trên cơ thể như: dưới da, tim, phổi, phúc mạc, tuyến vú, tinh hoàn…

Ruồi hay mòng Chrysops hút máu người truyền bệnh giun chỉ ký sinh trong mắt.
Hình thức ký sinh của giun chỉ Dirofilaria repens là cuộn tròn lại, tạo một cái ổ như cái kén mặc dù nó có chiều dài hàng chục xăng-ti-mét.
Tuổi thọ của giun chỉ Dirofilaria repens khoảng vài ba năm, sau khi chết xác của giun chỉ sẽ làm cho vùng ký sinh bị vôi hóa. Thức ăn của nó là các chất dinh dưỡng trong cơ thể.

Giun chỉ Dirofilaria repens dài... 12 cm ký sinh dưới lớp kết mạc mắt được tìm thấy trong mắt một bệnh nhân người Việt Nam.
Mức độ nguy hiểm của giun chỉ Dirofilaria repens ký sinh phụ thuộc vào từng vị trí của cơ thể. Nếu ký sinh ở những nơi xung yếu như mắt và tuyến vú thì người bệnh có thể dễ dang phát hiện ra. Nhưng, nếu ký sinh ở các vị trí khác trong cơ thể thì rất khó phát hiện và người bệnh phải "chung sống hòa bình" với nó.
Tổng hợp
Mời bạn xem thêm:
Quên tháo kính áp tròng, bị vi khuẩn ăn mất nhãn cầu
