Cô gái đã lập gia đình và có một con gái. Các bác sỹ đã hết sức ngạc nhiên khi phát hiện cô không có tiểu não tức là thiếu một nửa não bộ mà vẫn có thể sống bình thường.
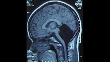
Một phụ nữ, 24 tuổi, ở tỉnh Quảng Đông, Trung Quốc phải nhập viện vì cảm thấy chóng mặt và buồn nôn. Sau khi chụp não, các bác sỹ của bệnh viện quân đội Quảng Đông hết sức ngạc nhiên khi phát hiện cô không có tiểu não (phần màu đen trong ảnh), tức là thiếu một nửa não bộ mà vẫn có thể sống bình thường.

Tiểu não nằm ở trung tâm hộp sọ, chứa khoảng một nửa số nơ ron thần kinh, khu vực chỉ huy việc cân bằng cơ thể, chạy nhảy, đá bóng và ngôn ngữ.
Do thiếu tiểu não nên đến 6 tuổi cô mới biết nói, 7 tuổi mới biết đi. Các cuộc kiểm tra cho thấy, cô có thể hiểu được các từ, nhưng gặp khó khăn khi phát âm, giọng của cô hơi run run và phát âm không được chuẩn.
Hiện cô đã có gia đình và có một con gái. Rất may cô bé có bộ não bình thường. Đây là một trong số 9 người trên thế giới mắc căn bệnh hiếm gặp này. Các bác sỹ tin rằng, các chức năng của tiểu não của cô có thể đã được thay thế bởi vỏ não.
Theo Việt Báo
Mời bạn xem thêm:
Kinh doanh chụp ảnh cưới dưới nước 'nổi sóng' tại Trung Quốc
Sau tai nạn giao thông, chàng trai người Úc... thành người Trung Quốc
